爱眼学术交流  
Journal of ophthalmology academic exchange

右眼疱疹病毒性葡萄膜炎1例

 二维码 10
发表时间:2025-03-01 16:26作者:苏红宇

苏红宇

邯郸爱眼眼科医院,眼底内科 河北邯郸 056000

关键词:葡萄膜炎,水痘-带状疱疹病毒

临床资料

一、一般资料

患者女,46岁右眼疼、红、视物模糊7天伴右侧头疼就诊。患者7天前无明显诱因出现右眼疼、红、视物模糊伴右侧头疼,于当地磁县中医院就诊,给予布林佐胺滴眼液2次/日,普拉洛芬滴眼液3次/日,点右眼,无效果既往史:3年前于磁县妇幼行卵巢囊肿手术切除手术

二、检查

视力:右眼0.1,矫正不提高,左眼0.3,-3.00×83=0.8。NCT:右眼19.0mmHg,左眼11.0mmHg。右眼上睑红色结痂蔓延至额部,球结膜混合性充血(+++),角膜水肿,内皮皱褶,内皮可见乳白色点状混浊,KP(+++),前房深浅可,房水絮状混浊,模糊可见虹膜纹理清,色可,瞳孔圆,对光反射迟钝,与晶体部分性粘连,晶体C2混浊,前可见虹膜色素颗粒,玻璃体混浊,眼底窥不入(图1)。化验:淋巴细胞值3.350x10^9/L↑,葡萄糖测定酶法6.52mmol/L↑,抗链球菌溶血358.51IU/ml↑。房水检测:VZV核酸1.8E+05VEGF 349pg/ml,BFGF 11.2pg/ml,IL-6 87480pg/ml,IL-10 91.3pg/ml,VCAM 97937.8pg/ml,IL-8 337.7pg/ml

苏红宇图片1.png

1 患者眼部检查像

三、诊断与鉴别诊断

1.右眼疱疹病毒性葡萄膜炎。

鉴别诊断:①单纯疱疹病毒所致的葡萄膜炎:该病多引起树枝状或地图状角膜炎,基质性角膜炎,水痘-带状疱疹病毒更易引起浅层的角膜炎,单纯疱疹病毒不引起眼带状疱疹和腰背部带状疱疹,血清学、PCR检测等有助于诊断和鉴别诊断。巨细胞病毒性视网膜炎:多发于免疫功能受抑制的患者,视网膜病变通常呈缓慢进展,前房反应轻微或缺如,玻璃体反应较轻,仅有轻微玻璃体混浊和少量炎症细胞,典型眼底改变为沿大血管分布的致密融合性白色混浊,伴视网膜出血或与视网膜血管无关的白色混浊,常伴有视网膜血管炎、视网膜血管闭塞、视网膜出血,组织学活检、病毒分离培养等有助于诊断和鉴别诊断。

四、治疗

①抗炎、清热解毒中药,强散、减轻炎症反应 盐酸利多卡因注射液每次0.2ml+盐酸肾上腺素注射液0.1ml+硫酸阿托品注射液0.3ml 右眼球结膜下注射;左氧氟沙星滴眼液点右眼,6次/日,更昔洛韦眼用凝胶每日1次点眼 外用涂眼部,典必殊每次1滴 每日6次点眼,更昔洛韦滴眼液4次/日 点眼,双氯芬酸钠滴眼液4次/日 点眼,妥布霉素地塞米松眼膏0.2g/日 涂眼,氯化钠注射液每次250ml+注射用更昔洛韦0.5g 每日2次静脉输液,盐酸利多卡因注射液0.5ml+注射用甲泼尼龙琥珀酸钠30mg右眼球周注射。清热解毒氯化钠注射液250ml+清开灵注射液30ml 每日1次静脉输液。

②患者右眼炎症较重,口渴,咽干,舌红,脉,属肝经风热,给予其疏风清热解毒,中医方剂为银翘散加减,具体方药如下:

金银花15g 连翘15g     桔梗6g        薄荷6g   

淡竹叶4g      甘草片5g   荆芥10g      防风10g   

芦根10g             白芷10g     菊花10g      玄参10g

知母10g             地黄10g     麦冬10g

中药7,每天一付,煎药机煎药,水煎内服。金银花、连翘清热解毒祛风,荆芥配辛凉之银花、连翘清热散风;桔梗、薄荷清热利咽,载药上行;竹叶、芦根清热生津;甘草解毒,调和诸药。玄参、知母、麦冬、地黄增液生津。

五、治疗结果、随访及转归

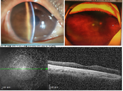
   视力:右眼0.4,-0.25/-1.75×94=0.9,左眼0.3,-3.00×83=0.8。眼底检查见图2。

苏红宇图片2.png

2 患者随访检查结果

根据患者的眼部表现及检查结果,应用眼内液检测可以为患者提供明确的诊断,从而为临床医生的治疗提供明确方向,该患者采用中西医结合治疗,根据望、闻、问、切采用清热解毒药物对患者全身情况提供更全面的治疗,更好的恢复患者病情。成人发病(病毒激活)机体抵抗力降低时,水痘带状疱疹病毒被激活,使用免疫抑制剂、人类免疫缺陷病毒感染、精神紧张是病毒激活的主要原因。病毒可沿感觉神经逆向传播至相应皮肤,引起感觉神经纤维分布区的皮肤疱疹及眼部炎症表现。

参考文献

1.杨培增.葡萄膜炎诊断与治疗.北京:人民卫生出版社,2009,3.

2.朱雪梅,赵明威.病毒性前葡萄膜炎的临床研究进展[J].国际眼科纵览,2013,37(5):340-345.

登录
登录
其他账号登录:
留言
回到顶部