爱眼学术交流  
Journal of ophthalmology academic exchange

弱视训练联合软件训练在大龄屈光参差性弱视儿童治疗中的应用

 二维码 148
发表时间:2025-03-01 16:22作者:苗艳华

苗艳华

邯郸爱眼眼科医院,视光科 河北邯郸 056000

关键词:大龄弱视,弱视训练,软件训

弱视是一种常见的儿童眼科疾病国内儿童的弱视发病率为3%4%[1]。弱视的治疗需要早期发现和及时干预,对于儿童视觉健康至关重要。传统的弱视治疗治疗周期长而且不容易坚持,软件训练对于三级视功能的恢复及弱视治疗的巩固起着至关重要的作用。在工作中接收并治疗一名大龄重度屈光参差弱视患者,采用弱视训练视觉训练的结合疗法,个月后患者矫正视力提升到0.8,经过两年的随访复查矫正视力稳定,取得了良好的临床效果。

临床资料

一、一般资料

患者女,13岁,主因体检查出双眼视力下降,于2022年1月27日来院就诊。

二、检查

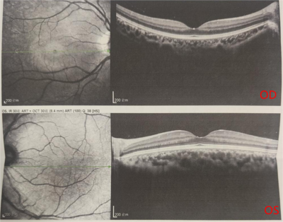
远裸眼视力:0.5/0.1,近裸眼视力:0.8/0.1,小曈验光:OD -1.00=1.0,OS +3.00-0.75*175=0.15,赛飞杰散瞳验光:OD -0.75=1.0,OS +4.25-1.00*170=0.2,三天后复查验光:OD:-1.00=1.0,OS:+2.75-1.00*170=0.15。眼前节未见异常。眼底欧堡检查:未见异常。OCT检查:右眼黄斑区网膜局部嵌合体带反射信号变薄,左眼黄斑中心凹结构大致正常(图1)。VEP检查:大小棋盘格:双眼P100波峰时,P75-P100振幅未见异常。多宝视检查双眼视功能:Worth四:2个,左眼抑制,无融合功能及立体视觉。三棱镜检查眼位:33cm:-4△,5m:不动。注视性质检查:右眼中心注视,左眼旁中心注视。

苗艳华图片1.png

1 患者初诊OCT

三、诊断

双眼屈光参差性弱视

四、治疗、随访及转归

1)配镜矫正屈光不正:配镜处方:R:-1.00=1.0,L:+2.75-1.00*170=0.15

2)遮盖:弱视的遮盖应根据患者的年龄及弱视的程度而定,此患者因年龄偏大,左眼弱视程度较重,如果采用全天遮盖法会影响孩子上课,故初期采用部分遮盖法进行遮盖,每天4-6小时,等孩子左眼视力提升至0.4以后,遮盖右眼左眼视力可满足日常学习和生活实用,可改为全天遮盖。因此患者年龄偏大考虑美观度,故后期右眼采用压抑膜进行全天遮盖。

3)进行弱视训练

第一个疗程训练方案提升视力和改变注视性质训练,在院训练,包括红光、后像、氦氖激光和精细目训练。3个月后复查结果为戴镜远视力1.0/0.6,裸眼视力1.0/0.6-,戴镜近视力:1.0/0.5。复查注视性质:双眼中心注视。

第二个疗程训练方案弱视训练联合软件训练:目前临床上弱视传统的综合治疗,儿童难以集中、坚持,易产生厌倦,依从性差,治疗效果不理想[2]。视觉训练软件在这一方面克服了医生指导的精细操作的缺点,可以对训练的时间、强度及训练的 视功能项目进行合理的编排,并将所有训练项目均通过电脑整合于游戏当中,使患儿更易于接受,保证治疗的效果[3-5],将患者的裸眼视力、戴镜视力、屈光度以及三级视功能导入软件训练APP上,后台会根据患者的情况个性化的制定训练方案,该患者此时需要重点训练三级视功能,所以后期的训练过程中关于同时视、融合功能和立体视的训练项目会比较多。传统的弱视训练联合软件训练训练(2次/日)治疗3个月后复查戴镜视力1.0/0.8,戴镜近视力1.0/0.6。融合功能由原来的分开范围:0度,辐辏范围:0度,提升为:分开范围:0度,辐辏范围+0.54度,立体视由原来800秒提升为160秒。此时,视力得到了明显的提升,视功能也得到了一定的改善。

随着患者视力的提升和视功能的改善,后期治疗的过程中应用传统训练和软件训练相结合的治疗方式,训练的频率会逐渐减少,直到弱视的治愈。经过两年的随访,此患者矫正视力和三级视功能都已恢复正常。

弱视是儿童常见眼病,在临床工作中见到很多屈光参差性的弱视会错过3-7岁的最佳治疗期而发展成大龄弱视患者。大龄弱视儿童运用传统的治疗方法,治疗时间一般需要治疗时间长、治疗效果差。

本文采用弱视训练联合视觉软件治疗大龄儿童屈光参差性弱视,患儿视力提升明显,时间较短,摆脱了陈旧的治疗理念,大大缩短了弱视的治疗时间,视力提升的同时双眼视功能也得到了明显的改善,促进了弱视的治愈。这种联合方案可以在临床中推广使用,为弱视的治疗提供了新的思路。

参考文献

1.惠菊绒,翟文丽,任选珍,等.2000例视力不良患儿的弱视分布分析. 吉林医学 2014;35(11):2408-2409.

2.Papageorgiou E,Asproudis I,Maconachie G,et a1.The treatment of amblyopia:current practice and emerging trends[J].Graefes Arch Clin Exp Ophthalmol,2019,257(6):1061—1078.

3.李小康,严宏.弱视遮盖治疗的新进展.眼科新进展,2007;27(1):72-74.

4.李昂,曾军.弱视治疗新进展,国际眼科杂志,2007;7(1):186.

5.易敬林,金涵.儿童弱视原因及分娩方式对弱视形成的影响.国际眼科杂志,2007;7(1):215-216

文章分类: 202503
分享到:
登录
登录
其他账号登录:
留言
回到顶部